Transforme seu sorriso e rejuveneça sua pele
Especialistas em estética facial e saúde bucal, com soluções para realçar sua beleza natural e prevenir o envelhecimento.
Tratamentos e procedimentos
O que a Superface pode fazer por você?
Conheça nossos tratamentos e procedimentos para cuidar da sua saúde e beleza.
Harmonização

Harmonização: As indesejadas marcas de expressão vão embora pra dar lugar a uma pele mais jovem e saudável, sem perder a naturalidade, com botóx e ácido hialurônico.
Lipo de Papada

Lipo de Papada: Eficaz para eliminar a gordura localizada abaixo do queixo, um procedimento moderno e minimamente invasivo, com resultados imediatos.
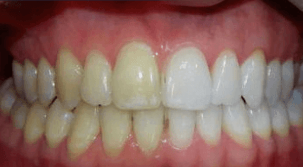
Clareamento

Clareamento: Um sorriso mais branco e saudável, sem agredir o esmalte dos dentes e com resultados visíveis em poucas sessões.
Implantodontia

Implantodontia: Restauração de sorrisos de forma segura e duradoura, com tratamentos personalizados para cada tipo de necessidade.
Ortodontia

Ortodontia: Restauração de sorrisos de forma segura e duradoura, com tratamentos personalizados para cada tipo de necessidade.
Clínico Geral

Clínico Geral: Limpeza, canal, caries, extração, restaurações e prevenção de doenças bucais, com acompanhamento e cuidados para garantir a saúde bucal.
Agende já a sua consulta
Precisa de uma consulta?
A Clínica
Conheça a Superface
Dra. Alessandra Martins
Movida por uma paixão pela saúde e bem-estar a cirurgiã-dentista Dra. Alessandra, também Sargento da Aeronáutica - onde atua como enfermeira -, usa seu talento para cuidar e garantir a melhor entrega para seus pacientes.
Sua missão é devolver a alegria de sorrir livremente, proporcionando um ambiente acolhedor e tratamentos que realmente fazem a diferença na vida das pessoas.
Estrutura
Localizada na Barra da Tijuca, nossa clínica oferece uma experiência completa em Implantes Dentários, Estética Dental e Harmonização Orofacial, tudo em um só lugar.
Nossa missão é transformar sorrisos e vidas, unindo qualidade profissional a uma estrutura moderna e tecnologias avançadas. Utilizamos equipamentos de última geração e técnicas inovadoras para garantir que você receba o melhor cuidado possível.
A equipe dedica atenção especial a cada paciente, oferecendo tratamentos personalizados que atendem às suas necessidades individuais. Com um ambiente acolhedor e atendimento humanizado, estamos aqui para restaurar sua confiança ao sorrir.
⭐️⭐️⭐️⭐️⭐️
Somos 5 estrelas no Google
O que nossos clientes estão dizendo sobre nós.
Oportunidade
Temos uma promoção exclusiva para você!
Entre em contato e agende já a sua consulta.
(Você não vai se arrepender!)

